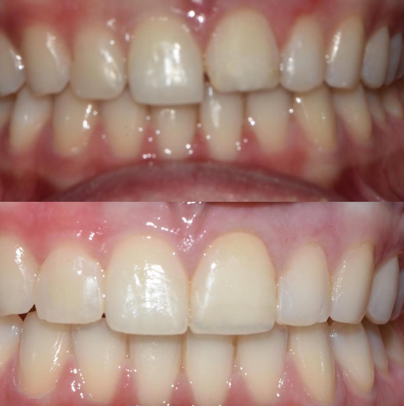
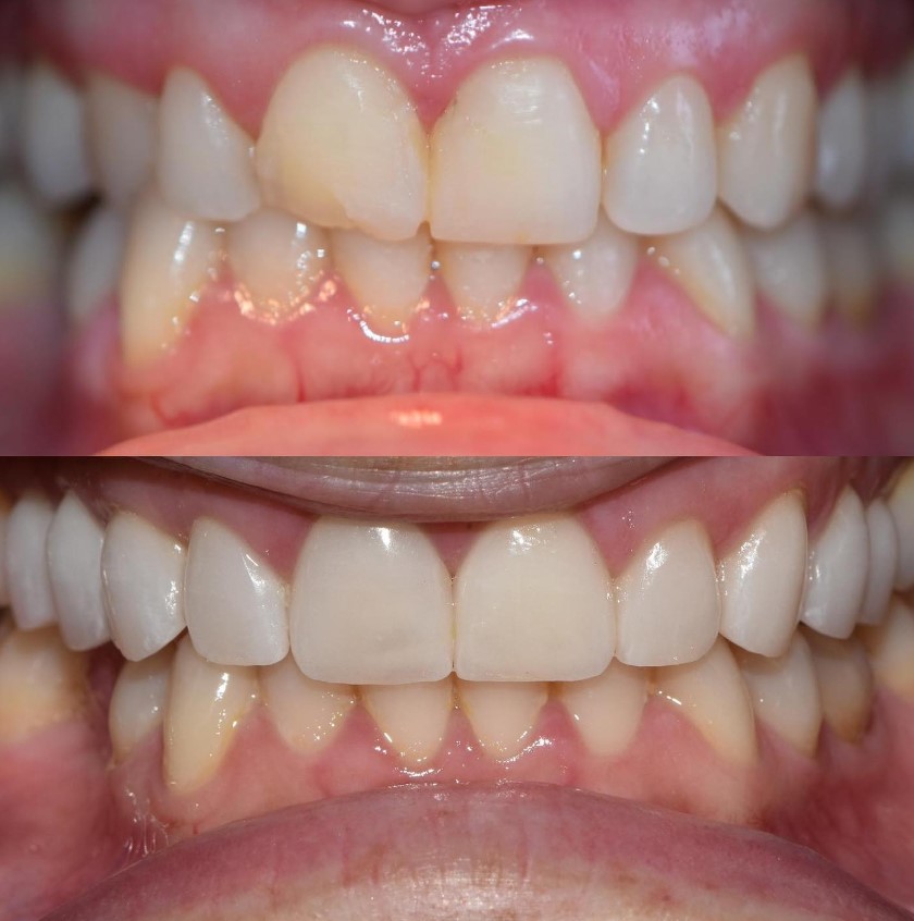
Добро пожаловать в стоматологическую клинику Brighton Your Smile, где ваша улыбка - наша гордость! Мы предоставляем широкий спектр стоматологических услуг на высочайшем профессиональном уровне.
В нашей клинике вы найдете все необходимые услуги: от лечения и протезирования до удаления зубов. Наша команда специалистов в области косметической стоматологии готова предложить отбеливание, пломбы, коронки, брекеты, а также челюстно-лицевую хирургию и детскую стоматологию.
Мы осуществляем лазерную стоматологию, применяя современные технологии для максимального комфорта наших пациентов. Индивидуальный подход к каждому человеку - наше преимущество. Мы с радостью делимся рекомендациями по уходу за зубами и ротовой полостью, помогая вам поддерживать вашу улыбку здоровой и красивой.
В Brighton Your Smile мы делаем каждую улыбку неповторимо яркой!





